

Aparelho ortopédico funcional 
Os braquetes metálicos, fabricados em aço inoxidável, hoje são cada vez menores, mais estéticos e confortáveis. Os elásticos coloridos são muito solicitados pelas crianças e adolescentes e as cores podem ser trocadas a cada visita ao consultório.
Os braquetes cerâmicos – estéticos – são muito aceito pelos pacientes, pela capacidade de mascarar a aparência do aparelho fixo, tornando-se quase invisíveis ao olhar. Assim, se você se preocupa com a aparência do seu sorriso, os braquetes estéticos são uma ótima opção.
Tratamento Ortodôntico e Indicações
•Crianças
•Adolescentes;
•Adultos;
•Pessoas com disfunções das articulações temporomandibulares e dores faciais;
•Pessoas que sofrem de bruxismo ( Rangem os dentes );
•Pessoas que se submetem a tratamento protético e necessitam reposicionamento dos dentes para os devidos lugares a fim de que a prótese seja instalada de maneira funcional;
•Pessoas que vão submeter-se à cirurgia ortognática;
•Pessoas que desejam melhorar a aparência dos dentes com finalidade estética.
O excesso de sobremordida faz com os dentes antero-inferiores não apareçam, dificultando a mastigação e provocam estalidos (ruídos) e dores nas articulações temporomandibulares (ATM).
Existem vários fatores que provocam os problemas de desalinhamento dos dentes e da má oclusão. As anomalias podem afetar tanto os dentes como a face. Entre as várias causas existentes, destacam-se pela maior frequência as de natureza hereditária , como apinhamentos ou espaçamentos e um grande número de irregularidades dentárias ou faciais. Na maioria das vezes ocorre quando a soma da largura dos dentes é maior que o comprimento do arco dentário que os sustenta. Isto significa que pode ter heredado o arco dentário de um dos pais ou parentes e as dimensões dos dentes de outro. Outras são adquiridas, tais como problemas respiratórios, sucção dos dedos ou chupeta, interposição da língua, perda precoce de dentes decíduos ( Dentes de Leite ), entre outras.
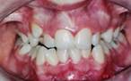
Paciente com maxila ( maxilar superior ) atrésico, respirador bucal e com espaçamentos entre os dentes. Se não tratado, terá sérios transtornos para os dentes, para aparência facial e para saúde como um todo.
Varia muito. Depende da severidade do caso. Alguns tratamentos devem ser iniciados bem cedo (quatro ou cinco anos de idade), mas deve ser feito um exame ortodôntico no início da erupção dos dentes permanentes; pois nesta época já é possível detectar um problema que seria mais sério e mais difícil de tratar no futuro. Entretanto, não é porque se tem dentes tortos que seja necessário viver com esta sina para o resto da vida.
Existem meios para recuperar um belo sorriso e nossa clínica está preparada para oferecer-lhe o que há de melhor em termos de tratamento ortodôntico. Normalmente o tratamento pode ser executado em qualquer idade, porém é importante saber que quanto mais cedo for feita a correção, melhor será o resultado.
Atualmente, graças aos novos equipamentos e técnicas, é recomendado procurar o ortodontista já por volta dos 5 (cinco) aos 6 (seis) anos de idade, de modo a já instituir-se um programa preventivo. A criança cresce muito rápido e pode beneficiar-se de um tratamento que dirija o crescimento e harmonize o tamanho e posição dos maxilares, colaborando para que haja espaço para os dentes permanentes. O tratamento precoce pode evitar tratamentos com extrações de dentes no futuro, evitando, também, procedimentos cirúrgicos para correção de anomalias nas proporções faciais. A grande vantagem, além dos benefícios proporcionados à criança, tais como a função mastigatória e a aparência facial melhor é a estabilidade futura do tratamento.

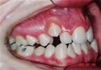
Paciente com 7 anos de idade, dentes permanente largos e mordida cruzada posterior direita. Se não tratado, poderá ter assimetria facial no futuro (face do lado direito mais volumosa que o esquerdo.
Varia com cada caso. Na maior parte das vezes, dura em média de 18 a 24 meses. Problemas mais simples podem ser tratados em um tempo menor. Em crianças pode ser realizado em duas fases. Na primeira, procura-se direcionar o crescimento favoravelmente ou já corrigir problemas em desenvolvimento e, na segunda, procura-se o alinhamento dos dentes.




Ao confirmar o tratamento você receberá uma pasta contendo todas as orientações sobre o tratamento, tais como os cuidados que deve ter com o aparelho, higiene entre outras. Para que se possa conseguir bom resultado é necessário haver um trabalho conjunto entre o ortodontista e o paciente.

Antes
DepoisUm belo sorriso é capaz de conseguir qualquer coisa e tocar fundo os corações. Assim, qualquer investimento que você faça em sua boca e face, a longo prazo, torna-se um custo irrisório.
SUA SAÚDE É O SEU MAIOR PATRIMÔNIO.
Nem sempre. Nossa clinica trabalha com técnica que permite o início do tratamento em idade bem precoce, reduzindo em muito a necessidade de extração para prover espaços para o alinhamento dos dentes. 75 % dos casos são tratados de maneira conservadora. Assim o paciente conclui o tratamento com todos os seus dentes e com os tecidos ósseos e gengivas perfeitamente saudáveis.
Antes
DepoisTratamento executado sem extrações. Tempo de tratamento de 20 meses. Em nossa clínica abolimos o uso do extra-bucal. Com técnicas mais recentes, temos conseguido resultados melhores e em menos tempo.
Todo o tratamento ortodôntico exige alguns cuidados, mas nada que obrigue a uma mudança de hábito do paciente. Normalmente deve-se evitar a mastigação de alimentos muito duros e estar ciente de que o aparelho dificulta um pouco a higiene bucal, exigindo desta forma mais atenção com a escovagem e com o uso do fio dental.
No início do tratamento o paciente receberá uma pasta com todas as informações necessárias.

Nossa Clínica conduz o tratamento de forma a facilitar o dia a dia do paciente.
Não existem. Entretanto deve-se tomar cuidado com os alimentos duros, chicletes ou balas do tipo puxa-puxa. Porém, uma dieta alimentar balanceada seguida de boa mastigação ajudam a manter a higidez dos tecidos.

Em qualquer situação, um hábito alimentar correto é fator importante para a boa saúde e melhor qualidade de vida.
Normalmente o tratamento ortodôntico é indolor. Para prevenir este desconforto a nossa clínica emprega mecânica ortodôntica leve e o aparelho é instalado de forma progressiva, de acordo com a aceitabilidade do paciente. Desta forma, não existe, nem mesmo, aquela famosa dorzinha da troca dos arcos, tão conhecida dos pacientes ativos ou que já fizeram tratamento.

Para que um implante ou uma prótese venha desempenhar corretamente sua função, ela deve reproduzir o mais fielmente possível o dente a que se está substituindo. Se os dentes estiverem inclinados ocupando parte do espaço do dente a ser substituído, eles devem ser reposicionados para os seus exatos lugares para que se possa fazer uma verdadeira reabilitação. Daí a necessidade em fazerem-se todas as correções ortodônticas necessárias , ou seja, a correção ortodõntica pré-protética antes do tratamento.

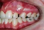
Caso necessitando reposicionamento ortodôntico dos dentes superiores a fim de permitir o correto posicionamento dos implantes na região dos incisivos laterais.
Até há poucos anos as filosofias de tratamento sugeriam esperar a troca de todos os dentes antes de iniciar-se o tratamento. Modernamente quanto mais cedo iniciar o tratamento melhor. Certamente um tratamento iniciado bem cedo evitará intervenções mais severas no futuro, além de contribuir para que os dentes permaneçam mais estáveis em seus lugares. O ideal é aproveitar a fase de crescimento da criança quando os dentes movimentam-se com mais facilidade. Esta fase vai mais ou menos até os 11 anos de idade para as meninas e aos 12 anos para os meninos.
Antes
DepoisCorreção feita bem cedo, com o uso de aparelho ortopédico funcional.
A maioria dos casos se não tratados poderão ter a má oclusão e o desalinhamento dos dentes agravados. Poderão vir a ter problemas como lesões cariosas, inflamações das gengivas, traumatismos da oclusão e possíveis disfunções das articulações temporomandibulares e dores faciais. Dentes cariados ou tortos não trabalham bem, prejudicando a mastigação. Problemas gástricos e enxaquecas são, muitas vezes, oriundos da má mastigação dos alimentos. O alinhamento correto dos dentes e a boa oclusão servem também como proteção para todo o aparelho mastigatório.

Os benefícios mais importantes que o tratamento pode proporcionar são uma aparência facial melhor e dentes mais saudáveis e trabalhando bem. Dentes bem posicionados facilitam a mastigação dos alimentos. Quando apinhados são difíceis de serem higienizados porque permitem o acúmulo de alimentos, saliva e bactérias que se alojam em áreas escondidas e de difícil acesso. O propósito da nossa clínica é proporcionar ao cliente um sorriso atraente e com um aspecto bem natural , uma vez que a boa aparência dos dentes é fator determinante na estética facial e contribui para o bem-estar pessoal, elevando a auto estima e, consequentemente, favorecendo a desinibição no convívio social. Assim, o propósito é dar ao cliente o que de melhor existe em termos de tratamento, valorizando-o e encantando-o.
